853 SE Monterey Commons Blvd, Stuart, FL 34996
Haven't been to the dentist in years? We understand. Get same-day results with gentle, judgment-free care. Lifetime warranty included.

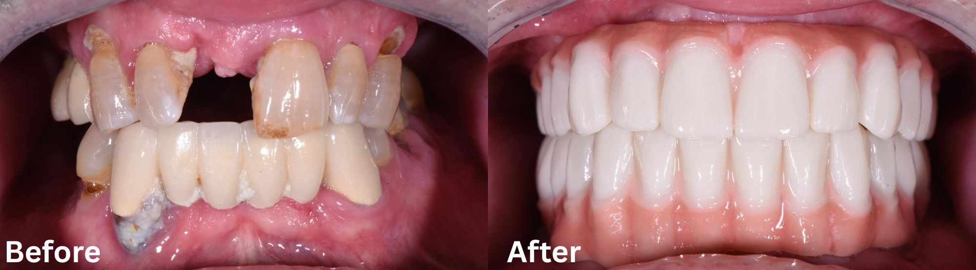
XCel Smile: Faster Results, Faster Healing


No matter how long it's been or how bad you think your teeth are, it's not too late. You can reclaim the confident smile you once had—and the life that comes with it. Dental implants do more than restore your teeth.
Dr. Sohl explains why our XCel Smile approach is the best option for permanent teeth replacement.
Your comfort is our priority, especially if it's been years since you've seen a dentist.
Despite dental anxiety, Carla explains how her experience was easy and how her new smile transformed her confidence.
Sten shares how his experience was unlike any other dentist and how his care made him feel truly comfortable.
GET A FREE CALL
We partner with Proceed, Cherry Financing, and Lending Club to offer payment plans that fit your budget. Break the cost into manageable monthly payments and enjoy the benefits immediately.
Have questions? We make it easy to get started. Our coordinator will listen to your goals, explain your options, and walk you through what to expect.
Michael Sohl, DDS
*No guarantee is stated or implied by any photo on this site. Individual results will vary.
Why drive an hour or more for specialized implant care? Dr. Sohl brings cutting-edge expertise directly to your community. Get the advanced treatment you deserve without the long commute—convenient appointments close to home, with results that last a lifetime.
© 2025 Dr. Michael Sohl Implant & Cosmetic Dentistry
All Rights Reserved | Privacy Policy | Accessibility Statement
853 SE Monterey Commons Blvd, Stuart FL 34996